Making Cardiology More Accessible

Bringing echocardiography to your practice, allowing you to deliver cardiology care to your clients without the need for external referral.

Get In Touch
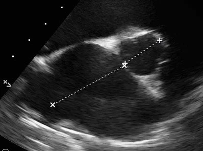
Annotated echocardiography scan of cat heart
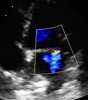
Echocardiography scan example with highlight
Echocardiography scan of dog's heart

Why a visiting cardiology service?

Do you have clients who would like to be doing the best for their pets but are limited, for example by financial concerns, may not be insured or have difficulties travelling?

  • You don’t have the facility to perform echocardiography in your practice?

  • Would you like an alternative option to referral that you could offer your clients?

  • Would you like to enhance the in-house diagnostic services you can offer?

  • Would you like an experienced cardiologist to give you a second opinion on a more complex case?

  • You like to maintain the relationship you have with your clients and would appreciate being the person to communicate with them

I can help you with all of this.

Cardiologist Julie Todd outside veterinary practice

Flexible scheduling options to meet your needs

Julie Todd performing cardiology scan on spaniel

Regular visits

  • Regular scheduled visits - monthly or tailored to your practice’s needs.

  • Book two to four scans per visit.

  • This ensures you have a dedicated cardiology day that you’ll know in advance.

King Charles spaniel with heart condition

One-Off Visits

  • I can attend your clinic on an ad-hoc basis if you have one or more cases that need echocardiography.

  • Suitable for practices that see cardiac cases more infrequently.

Dog sat on echocardiography table with Julie

Urgent/Short-Notice Visits

  • For cases that require a scan within 24 hours.

  • I’m happy to accommodate these cases where possible.

Cat with veterinarian

Ways my service can support your practice

  • Pre-anaesthetic risk assessment. Owners can often be concerned that a heart murmur is a reason to avoid a surgical procedure or dentistry. However, echocardiographic assessment of heart disease aids anaesthesia planning and allows for better informed discussion of risks.

  • Assessment of new or progressing heart murmurs.

  • Puppy and kitten murmur evaluation.

  • Assessing presence or absence of cardiomyopathy in cats with a murmur, gallop sound or arrhythmia.

  • Staging of heart disease to better inform your treatment decisions.

Get in touch today

Echocardiography

Echocardiography scan example

I will bring:

  • A mobile cardiac ultrasound machine

  • Cardiac and abdominal probes.

  • An echo table.

Following The Scan:

  • I will supply an echocardiography report including images, diagnosis and treatment recommendations.

  • Discussion with the practice vet if required.

I ask you to:

  • Admit and discharge the animals and communicate with your clients.

  • Provide me with information about each patient and the reasons the scan is requested.

  • Ensure there is a suitable room that can be darkened.

  • Provide a nurse to hold the patients for echocardiography

Advice:

  • In-person discussion with the practice vets during my practice visits.

  • Support via phone and email.

Echocardiography Costs:

I will normally charge 70% of the fee you charge the client for the scan, with a minimum fee to be arranged with the practice.

Please contact me for further pricing information.

Julie with echocardiography equipment, performing scan on dog

How to work with me

We can discuss your practice needs by phone or online.

Schedule an initial practice visit where we can discuss the service I could offer face to face. This can include a free scan demo. Agree upon an arrangement that is suitable for you.

I understand, there will be times when this advance planning isn’t possible, in which case I’m happy to be flexible and book a clinical visit straight away - so don’t hesitate to get in touch.

Please email me, phone me or use the contact form on the website.

Get In Touch Today
Chocolate lab with red collar

Ready to start providing more accessible cardiac care to your clients?

GET IN TOUCH